Tag Archives: Dental Care

Dr. Dominic O’Hooley To Be Featured In Upcoming Television Series

The Dental Clinic director, Dr. Dominic O’Hooley, has been announced as the featured celebrity dentist on the upcoming miniseries, Lorraine Kelly’s Big Slim: The Chawner Challenge.

Airing in January 2010, the new 6-part series follows two-time X Factor reject Emma Chawner and her family as they try to slim down.

Emma Chawner first caught the nation’s attention when she appeared on the X Factor in 2007 in a meringue dress, singing Celine Dion’s My Heart Will Go On. The 19-year old was rejected for both her look and voice by judge Simon Cowell.

Chawner returned two years later with her sister Samantha, 21, only to be rejected again.

Beyond her multiple appearances on the X Factor, Chawner and her family have also gained publicity for other reasons – weighing in at a combined total of 83 stones, the unemployed family has been claiming £22,500 in benefits, according to The Daily Mail.

The upcoming TV series, filmed over a period of five months, tracks the family as they undergo the ultimate makeover. From a diet and fitness regime, to close work with nutritionists, health and fitness experts, and life coaches, the entire programme is designed to provide the family with the opportunity to really change their lifestyle and outlook.

“We’ve designed a format that allows them to meet some of the best experts in the country to give them an opportunity to really change the way they live and how they feel about themselves, whilst providing some excellent entertainment in the process,” Paul Stead, executive producer for Daisybeck Productions, said, in an interview with Broadcast.

One of these experts appearing in the series is dentist Dr. O’Hooley who treated both Emma and her mother, Audrey, at The Dental Clinic in Leeds.

O’Hooley commented on the significance of dental treatments in such all-encompassing makeovers.

“A great smile can go a long way in providing someone with a real sense of confidence,” O’Hooley said. “It can affect the way that you feel about yourself, as well as the way that others perceive and respond to you.”

Though O’Hooley declined comment as to exactly what treatments Emma and Audrey received, he noted that he was happy to contribute to their makeovers.

“I think both Emma and Audrey are very happy with their new smiles, and I was glad to be able to provide them with something that can really contribute to their transformations,” he said.

About The Dental Clinic:
The Dental Clinic is the largest private provider of dental services in the UK, offering services ranging from general dentistry, to teeth whitening and cosmetic dentistry.

Via EPR Network
More Healthcare press releases

Dental Implant Education by Dr. Todd B. Engel, DDS

An expert diagnostician will advise the very best treatment for a patient’s needs, regardless if the best course of treatment is a service that he or she routinely provides or not. In cases where the best treatment for the circumstances is not a treatment that is routinely performed in the office, then palliative treatment along with a referral to a specialist may be in order. Many more options are now available in the repertoire for restorative dentists placing dental implants. If the final result can be “blueprinted” prior to initiating treatment (and the clinician has the knowledge and ability to produce it), then some of the “afternoon emergency dilemmas” will appear a bit more straightforward, if not quite predictable.

In this author’s opinion, there is no better feeling than consoling a distraught patient in an emergency situation, having the expertise to diagnose the emergency appropriately, and having the knowledge, confidence, and capability to produce a positive result for the patient. This article will attempt to illustrate a simplified method for an immediate implant placement, along with a guided tissue procedure, into a fresh extraction site. All of the standard “pre-procedural” diagnostic measures and conditions—with heavy emphasis on the patient’s health history—need to be considered and deemed acceptable before beginning treatment. These measures and conditions should include (but are not limited to):1

• All pertinent clinical data
• Hard and soft tissue analysis
• Gingival biotype
• Lip lines
• Occlusion
• Radiographic interpretation
• Interarch space
• Keratinized tissue
• Esthetic demands
• Applicable informed consent
• Arch relationship
• Emergence profile
• Clinician confidence to control the case

In the following case report, a “prospective” new patient reported to the Ladera Ranch Implant Institute on a typical hectic afternoon in need of emergency treatment.

Case Report
A 42-year-old man presented with the chief complaint of a “loose filling in his front tooth” along with what he called some recent “tissue irritation” around the maxillary right central incisor.

A complete dental examination was performed, as well as the review of his medica history. The medical history was unremarkable, and his dental condition was excellent with the exception of some localized, minimal tissue recession. The patient mentioned that he smoked more than a pack of tobacco per day, had no allergies, was not taking any prescribed medications, and that he was not under the care of a physician. During the intraoral evaluation (Figure 1 View Figure), the clinical crown was sacrificed after removal of the “loose filling.” Additional root caries was found extending well below bone level. The soft tissue surrounding the tooth was within normal limits. The preliminary x-ray (Figure 2 View Figure) revealed internal resorption, deep root caries, and biological width invasion. The culprit tooth had been previously treated with root canal therapy and a multi-surface composite filling. Aside f r o m the patient’s complaint of the “filling feeling loose,” he had no other clinical symptoms.

Treatment Plan
After an exploratory removal of additional decay, the tooth was deemed not salvageable (Figure 3 View Figure). Once presented with all remaining treatment options based on this scenario, and considering previous time and financial investments already put into this tooth, the patient elected to proceed with the extraction of tooth No. 8 and, should it be a possibility once the site was evaluated and deemed appropriate after the tooth extraction, have an immediate implant placed. At this point, the “blueprint,” along with a time line and financials, were presented to the patient. All treatment plans, informed consents, and financial arrangements were discussed and signed.

Communication is the first step to a successful blueprint. The patient was given the appropriate informed consent which included (but was not limited to) the proximity to the nasal floor and nasopalatine foramen, as well as possible pain, swelling, infection, damage to adjacent teeth, numbness (temporary or permanent), along with possible implant failure of unknown cause. Additionally (and, in the author’s opinion, a must for any implant surgery performed in the esthetic zone), informed consent was rendered for a potential need for a second periodontal surgical procedure, based on healing that may be less than ideal in the esthetic zone. Again, as with all smokers in need of treatment, a heavy emphasis was placed on the need for a healthy blood supply to reach the surgical site, and how the patient’s smoking would be a significant interference with respect to a successful outcome.2

Before beginning such a case, all provisional options and modalities must be considered and available before initiating surgery. This will help greatly in case of a potential shift in treatment plan mid-surgery. This is the stabilizer in most, if not all, successful anterior implant cases.

Treatment Protocol: Materials and Methods
Initially, this surgical approach would be performed by way of a “flapless” technique in an attempt to avoid any unnecessary invasion or trauma to the periodontal architecture and support. Upon successful tooth removal, a further evaluation of the boney walls and socket integrity would be evaluated, thus indicating if a full-thickness flap reflection would be necessary to complete the implant placement or to repair any defects.3

The patient was given a vestibular infiltration with one cartridge of lidocaine with epinephrine 1:50,000, along with supplemental infiltration on the palatal side of tooth No. 8. After complete loss of sensation was achieved, a periotome (Nobel Biocare, Yorba Linda, CA) was used to carefully separate the central incisor and its periodontal ligament (PDL) f r o m the surrounding bony housing. This protocol is extremely important to ensure that the remaining boney housing is not jeopardized and/or fractured during the attempted tooth extraction. In cases such as this, further tooth breakage should be expected if one attempts to manually elevate or remove the remaining sacrificed tooth structure with forceps.4,5

After circumferential PDL detachment was accomplished, the central incisor was then atraumatically removed by simple elevation. This natural intact root would now serve as an ideal indicator of depth, width, and socket morphology, and would also confirm initial pre-surgical radiographic calculations. During further debridement and socket evaluation, a facial defect 3 mm in width and 3 mm in height was detected, necessitating the need for a full-thickness flap. The conservative flap extended both one tooth anteriorly and posteriorly, along with two vertical releasing incisions (Figure 4 View Figure), while keeping the base of the flap (vestibule) wider than the apex. This would maintain a healthy blood supply to the flap, prevent tissue necrosis, and would reduce the possibility of tearing or laceration when repositioning took place.6,7

Based on root morphology and size, a regular platform 4.3-mm X 10-mm NobelReplaceâ„¢ Tapered Groovy implant (Nobel Biocare) was selected to complete the case. The surgical bur was then placed by hand directly into the socket to confirm a snug fit and also to confirm depth. The appropriate 4.3-mm X 10-mm surgical bur was then used to further obliterate the socket, gain apical advancement in virgin bone, and to create fresh bleeding internally.

The implant was then placed into the fresh extraction socket, with emphasis placed on maintaining the desirable restorative angles and correct emergence profile as well as being respectful to all zones of safety (minimum of 2 mm) between the implant and adjacent natural teeth for an adequate and healthy blood supply.8

Based on the constriction toward the apical portion of the socket, a torque of 40 Ncm was achieved when the implant was placed in its final desired position. A cover screw was placed to seal off the opening of the implant in an effort to prevent any grafting debris f r o m entering into the implant site (Figure 5 View Figure, Figure 6 View Figure, Figure 7 View Figure, Figure 8 View Figure).

Next, before flap closure, the aforementioned facial defect was in need of repair. A pure-phase, beta tri-calcium phosphate, 150-µm to 500-µm particulate material, Cerasorb® (RIEMSER, Raleigh, North Carolina), was mixed with the patient’s own blood and placed directly onto the facial bone defect and exposed implant surface. All attempts were made to re-create the topography of the original bone pattern before any defect had occurred. Additionally, to protect and support the fresh clot and avoid any in-growth of unwanted epithelium into the graft itself, a bio-resorbable membrane, Epi-guide (RIEMSER), a bioresorbable synthetic membrane, was modified and placed directly over the Cerasorb graft material and beneath the tissue periosteum (Figure 9 View Figure and Figure 10 View Figure). The bio-resorbable membrane should remain a minimum of 1 mm away f r o m the adjacent sulcus to prevent transmission of bacteria across the membrane surface f r o m adjacent teeth. Although suitable torque was achieved to immediately load the implant, the author chose to delay loading because of the boney defect.9,10

Finally, and just before flap repositioning, a release of the underlying periosteum was indicated to ensure a relaxed flap closure and to avoid wound opening. The flap was repositioned with two horizontal mattress and four interrupted PTFE sutures (Osteogenics Biomedical Inc, Lubbock, TX) (Figure 11 View Figure).

At this point, the temporization decision is key and quite critical to assist in healthy tissue healing and natural adaptation. A composite Maryland bridge provisional was fabricated chairside to complete this interim phase of treatment, in the effort of training and maintaining healthy, intact papilla by way of an ovate pontic design. Several try-ins were attempted before the final bonding to ensure that no contact was directly on the surgical site, at which time the temporary was adjusted out of occlusion and bonded into place (Figure 12 View Figure)

The patient was prescribed amoxicillin 500 mg four times a day for 1 week, ibuprofen 800 mg three times a day for 4 days, and 0.12 chlorhexidine rinses three times a day for 1 week, and given a 10-day recall appointment. Before dismissal, the use of tobacco products was reviewed once again, and the patient was advised to refrain f r o m smoking during the healing period.

At the 10-day interval, the patient returned for a follow-up postoperative appointment. The bonded provisional restoration was removed for further evaluation of the surgical site and all sutures were removed. Ultimately, the provisional bridge was bonded back into place over the surgical site, and would remain in place throughout the remainder of the healing phase (Figure 13 View Figure). Based on the site evaluation and a short discussion with the patient, the first week proved to be successful. The patient was given a 4-month recall appointment for the restorative phase of treatment.

At 4 months, the patient returned for the second phase, or restorative portion of treatment, which encompassed uncovering the implant fixture. Based on the author’s evaluation of healing after the 4-month period, an interproximal full-thickness flap was opted over a traditional “punch” technique to reveal the implant fixture for the implant-level impression. The rationale for this was to displace some of the healthy keratinized tissue f r o m the palatal side of the implant, toward the facial aspect, as this would provide a more adequate biological seal and a more ideal esthetic result.

This semi-lunar, full-thickness incision was initiated slightly palatal to the center of the ridge, while sparing the papilla interproximally (Figure 14 View Figure and Figure 15 View Figure). At this point, a transmucosal healing abutment was used to support, train, and maintain the repositioned flap for a more ideal result (Figure 16 View Figure). During the temporary phase, a well-designed provisional with ideally positioned proximal contact points is key, and will assist with overall papilla health (Figure 17 View Figure).

Two weeks later, the patient returned for the definitive prosthesis, symptom-free. The all-ceramic NobelProcera™ crown (Nobel Biocare) was placed into position, and an x-ray was taken to confirm fit before cementation (Figure 18 View Figure). The NobelProcera crown was then cemented into place, the occlusal scheme was checked to make certain that the crown was solely in a light centric contact, and all parafunctional contacts were removed. The patient was very happy with his choice of treatment, as well as the final result (Figure 19 View Figure).

Via EPR Network
More Healthcare press releases

Dr. Julia Neuls Receives Prestigious Fellowship From Academy General Dentistry

The Academy of General Dentistry (AGD) is pleased to announce that Julia Neuls, of Fort Lauderdale, FL., received the prestigious Fellowship Award during the AGD’s Convocation ceremony, a commencement celebration that recognizes AGD member’s commitment to excellence in dental education. Held at the AGD’s Annual Meeting & Exhibits on July 19 in Orlando, FL., Dr. Neuls accepted this award along with more than 240 other recipients.

The Fellowship Award is presented to dentists looking to provide the highest quality of dental care by remaining current in their profession. In order to receive this award, Dr. Neuls completed 500 hours of continuing dental education, passed a comprehensive written exam and fulfilled three years of continuingmembership with the AGD. As a recipient of this award, Dr. Neuls has joined an elite group of more than 14,000 members of dental community who understand that great smiles and good oral health for their patients are the result of going above and beyond basic requirements. The Fellowship Award symbolizes excellence in the dental profession and a commitment to providing exceptional patient care. Dr. Neuls graduated from Virginia Commonwealth University School of Dentistry in 1997 and currently practices dentistry in Fort Lauderdale, FL. In addition to the AGD, Dr. Neuls is a member of the American Dental Association, Florida Dental Association, Broward County Dental Association, Ft. Lauderdale Dental Study Club and the Atlantic Coast Dental Association. Dr. Neuls is married to Kenneth and has two children, Piper and Skyler.

The AGD is a professional association of more than 35,000 dentists dedicated to staying up-to- date in the profession through continuing education. Founded in 1952, the AGD

has grown to become the world’s second largest dental association, which is the only association that exclusively represents the needs and interests of general dentists.

More than 786,000 people are employed directly in the field of dentistry. A general dentist is the primary care provider for patients of all ages and is responsible for the diagnosis, treatment, management and overall coordination of services related to patients oral health needs.

Dr. Julia Neuls is a Fort Lauderdale Cosmetic Dentist offering her patients exciting new options in smile makeover, porcelain veneers, teeth whitening, crown & bridge as well as traditional general dentistry services in the Ft. Lauderdale, FL area.

Via EPR Network
More Healthcare press releases

Dental Facelift Offered At Smile South Florida Cosmetic Dentistry

At Smile South Florida Cosmetic Dentistry, our top cosmetic dentists look at the whole picture when it comes to cosmetic and restorative dental work.

As we age, our teeth wear down and our faces appear more short. The cheeks also become sunken in and there is a collapse of the dental arches. This creates the appearance of more defined lines around the mouth and lower face, as well as an aging effect due to discoloration and reduced quality of the dental aesthetics. This is why Smile South Florida performs a dental restorative facelift.

A dental facelift is the use of cosmetic dentistry to create the effect of a traditional facelift, without intrusive plastic surgery.

A dental facelift can take years off of the face by restoring the fullness of the face lost over time. It can have a significant impact on not just the look of the patients face, but also on the function by having proper tooth, bite, and jaw alignment.

As we reach middle age, the dental arches, especially on the lower teeth, have a tendency to collapse inward given a sunken in look to the jaw. Widening the smile is one important method to help in giving back the fullness of the cheeks. We take into consideration replacing lost tooth structure and improving the height of the teeth. The teeth also start to become chipped, worn, crooked, discolored, and can even fall out/be missing. This also presents severe aging effect to the mouth, and especially the entire face.

Here are some of the dramatic results that can be achieved through cosmetic and restorative dentistry at Smile South Florida:

Actual Patient

Dental Restorative Facelift at Smile South Florida dentistry Dental Restorative Facelift at Smile South Florida dentistry

Actual Patient

Dental Restorative Facelift at Smile South Florida dentistry Dental Restorative Facelift at Smile South Florida dentistry

Actual Patient

Dental Restorative Facelift at Smile South Florida dentistry Dental Restorative Facelift at Smile South Florida dentistry

Actual Patient

Dental Restorative Facelift at Smile South Florida dentistry Dental Restorative Facelift at Smile South Florida dentistry

Actual Patient

Dental Restorative Facelift at Smile South Florida dentistry Dental Restorative Facelift at Smile South Florida dentistry

Actual Patient

Dental Restorative Facelift at Smile South Florida dentistry Dental Restorative Facelift at Smile South Florida dentistry

Smile South Florida Cosmetic Dentistry can give you back that youthful look to your ace, and keep you smiling all of the time.  Come in today for a complimentary consulation, and see if you are a candidate for a dental restorative facelift.  You can call our office toll-free or email us!

About Smile South Florida Cosmetic Dentistry

The cosmetic dentists at Smile South Florida Cosmetic Dentistry have offices in Broward County and West Palm Beach and provide Boca Raton Dentistry, Fort Lauderdale Dentistry and Miami Dentistry. The dentists specialize in dental aesthetics including porcelain veneers, dental implants, extreme makeovers, Invisalign, and sedation dentistry.

About Dr. Charles Nottingham

Charles Nottingham, D.D.S., Fellow in the Academy of General Dentistry, is an internationally and nationally renowned cosmetic dentist. He has been creating dazzling, healthy smiles for his patients since 1974.

About Dr. Kenneth Anenberg

Besides being an excellent cosmetic dentist, Dr. Anenberg specializes in Invisalign, a revolutionary alternative to metal braces, and sedation dentistry & sleep dentistry.

Via EPR Network
More Healthcare press releases

Orange Juice And Teeth – A Rotten Cocktail

A refreshing glass of orange juice with your breakfast might not be quite as beneficial as you once thought.

Recent studies have revealed that some juices are so acidic they erode teeth enamel with every sip. Dr Yan-Fang Ren, of the Eastman Institute for Oral Health, reported that the acid in orange juice ‘is so strong that the tooth is literally washed away’.

Using a revolutionary vertical scanning microscope for the first time, the researchers were able to see the extensive surface detail on teeth.

Such juice-drinking has further, negative implications; the unnatural acceleration of erosion of the teeth that it causes substantially increases the risk of development and spread of tooth decay.

However, for those among you on a quest for healthy, pearly whites, fear not! The Hospital Group, one of the country’s leading plastic surgery providers, offer a range of dental treatments in its specialist cosmetic dentistry clinics located around the UK.

Teeth whitening, pain-free veneers, white fillings and porcelain crowns are just a few of the popular treatments available at the NuSmile dentistry treatment centres across the country.

Since The Hospital Group was established in 1992, it has grown from a small pharmaceutical company to one of the UK’s foremost plastic surgery providers. The Group is committed to providing the very highest standards and all procedures are performed by an expert medical team in state-of-the-art facilities that are second to none.

For further information on The Hospital Group’s range of dentistry procedures please visit www.thehospitalgroup.org or call 0845 762 6727.

Contact Details: For further information on The Hospital Group’s range of dentistry procedures please visit www.thehospitalgroup.org or call 0845 762 6727.

Via EPR Network
More Healthcare press releases

Smile South Florida Cosmetic Dentistry Is Offering A Limited Time Summer Invisalign Special To Both New And Current Patients

Many patients want to have the benefits of a beautiful straight smile, but do not want to be inconvenienced with wearing unsightly metal braces for several years. This is where the Invisalign method can make a difference. Invisalign is an alternative to traditional braces, where the patient uses a series of clear aligners that are custom molded to fit the patient’s teeth. The aligners are gradually repositioned over time to adjust the smile and give the desired result.

In contrast to traditional braces that are permanently fixed into the mouth during treatment, Invisalign braces are removable during eating and to brush the teeth. Heather, Marketing & Guest Services Coordinator for the South Florida Dentist, and current Invisalign patient said, “I wanted to have straight teeth for my upcoming wedding, but there was no way that I would be caught wearing metal braces for several years. This is my chance to have straight teeth in a short amount of time without anyone knowing that I am even wearing braces.”

Currently, Smile South Florida is offering a 25% off regular price special on Invisalign treatment that will run until September 1st, 2009. This offers a huge savings to the patient, especially since Invisalign is typically not covered by many dental insurance plans.

Dr. Kenneth Anenberg is the premier Fort Lauderdale Cosmetic Dentist at Smile South Florida, who specializes in the Invisalign treatment for patients. When discussing with Dr. Anenberg the reasoning for this discounted special, Dr. Anenberg mentioned that “there are so many patients who really need help, but cannot regularly afford this treatment…. This is their opportunity to get Invisalign.”

About Smile South Florida Cosmetic Dentistry

The cosmetic dentists at Smile South Florida Cosmetic Dentistry have offices in Broward County and West Palm Beach and provide Boca Raton Dentistry, Fort Lauderdale Dentistry and Miami Dentistry. The dentists specialize in dental aesthetics including porcelain veneers, dental implants, extreme makeovers Invisalign, and sedation dentistry.

About Dr. Charles Nottingham
Charles Nottingham, D.D.S., Fellow in the Academy of General Dentistry, is an internationally and nationally renowned
cosmetic dentist. He has been creating dazzling, healthy smiles for his patients since 1974.

About Dr. Kenneth Anenberg
Besides being an excellent
cosmetic dentist, Dr. Anenberg specializes in Invisalign, a revolutionary alternative to metal braces, and sedation dentistry & sleep dentistry.

Via EPR Network
More
Healthcare press releases

Brace Yourself For Royal Heir’s New Secret

Prince William has given away the secret behind his royal smile. The 26-year-old heir to the throne is leading a trend for adults having invisible braces fitted. William gave away his secret as he laughed and joked with children at the headquarters of JCB in Rocester, Staffordshire.

The second in line to the thrown originally underwent treatment costing £3,000 when he was 14 which went unnoticed even by the spying paparazzi.

It was later confirmed that he received further treatment 10 years ago on the advice of an orthodontist. It is believed the prince had the work done privately costing around £2,000.

Clarence House said: “Prince William has used a permanent support for his bottom teeth for 10 years.”

In 2007 a total of 1,164 British adults had braces fitted which was an astonishing 345% increase on the previous year. Three out of four of which were women.

Britons spent £350million on cosmetic dentistry with many parents seeking treatment at the same time as their children. The Hospital Group, one of the UK’s leading cosmetic dentistry providers, perform a wide range of procedures in its specialist clinics located throughout the UK.

In 2008, The Hospital Group saw a 62% increase in the number of NuSmile Clear Braces fitted.

The NuSmile dentistry treatment centres at The Hospital Group perform over 200 procedures a year, including teeth whitening, pain-free veneers that require no drilling of your natural teeth, invisible braces, white fillings and porcelain crowns.

Since The Hospital Group was established in 1992, it has grown from a small pharmaceutical company to one of the UK’s foremost cosmetic surgery providers. The Group is committed to providing the very highest standards and all procedures are performed by an expert medical team in state-of-the-art facilities that are second to none.

Via EPR Network
More 
Healthcare press releases

Beverly Hills Cosmetic Dentists of Bedford Dental Group Launch New Website

The Bedford Dental Group in Beverly Hills, California, gives everyone in the Los Angeles area a chance to experience the very best in general and cosmetic dental services. Thoroughly trained and experienced in all dental areas, cosmetic dentists Daniel Naysan, D.D.S. and Mehdi Nayssan, D.D.S. perform everything from Zoom! teeth whitening and Invisalign to porcelain veneers and dental implants, using a variety of safe and relatively painless practices. They excel in making your smile bright and attractive, and will cater to your every need throughout the entire process.

Bedford Dental Group recently launched a new website, www.bhdentists.com, to compliment their successful dental practice. The site is very informational and covers the many different services offered, such as dental implants, direct composite bonding, porcelain veneers, teeth whitening, dental crowns, dental bridges, root canals, porcelain fillings, tooth extractions, grafting, dental cleanings, dental check-ups and TMJ treatment. It also includes a variety of images, including before and after photos of their patients.

Daniel Nayssan, D.D.S. is a member of the American Dental Association (ADA), the California Dental Association (CDA) and Los Angeles Dental Society, and is also a member of the Alpha Omega dental fraternity. He has earned an advanced certification for treating patients with the Invisalign system, and continues to practice all forms of general and advanced cosmetic and general dentistry. Dr. Naysan is featured in a video to be found on the home page of the website. The video provides a brief tour of the dental practice, a glimpse into the office ideology, and includes real patient testimonials.

Whether it’s a routine dental exam to check for problems before they grow or receiving a dental implant to replace a lost tooth, Bedford Dental Group’s commitment to combining excellent dental care with indulgent customer service makes your visit one to look forward to! Call (310) 278-0600 or visit http://www.bhdentists.com to arrange an appointment.

Via EPR Network
More Healthcare press releases

Las Vegas Invisalign Orthodontics Patients In Las Vegas, Nevada Now Have Something Amazing To Smile About

Dr. David Alpan and Aesthetics Orthodontics offer a virtually invisible way to get the straighter teeth and beautiful smiles they’ve always dreamed about—with no brackets, no wires, and no hassle. One of the most convenient and comfortable teeth straightening options available today, the Invisalign system lets each patient keep her orthodontic treatment to herself, using a series nearly undetectable aligners to produce a dazzling smile and the confidence she craves.

Affecting over 75% of the population in the United States, malocclusion, or the misalignment of teeth, is one of the most common reasons that patients seek dental care. The metal braces that have been used for years to treat malocclusion are difficult to care for, require restrictions on the patient’s diet, can be uncomfortable to wear, and are quiet noticeable.

In contrast, the Invisalign system consists of removable clear plastic trays that are both comfortable to wear and convenient to care for. These aligners gently shift the patient’s teeth, over time, into the smile he’s always wanted, with none of the bother of braces. Other types of invisible braces, like those worn on the backs of the teeth or those made of ceramic rather than metal, can certainly be less noticeable than traditional braces, but only Invisalign offers the patient complete freedom when it comes to what he eats and how he brushes—the trays are simply removed when necessary.

Invisalign aligners are created just for the individual patient, based on a custom treatment plan. Each set is worn for two weeks, and then replaced by the next set in the patient’s personalized series. As the patient works her way through her series of aligners, she begins to see positive changes in her smile. The aligners straighten teeth over time, ultimately leaving the patient with the beautiful smile she’s been waiting for.

A leader in the field and a top Las Vegas Invisalign orthodontist, Dr. David Alpan has been a certified Invisalign provider since 1999. Since 2001, Dr. Alpan has worked with Align Technology, the maker of Invisalign to train other Invisalign dentists in the use of this highly effective and popular tooth straightening method. To date, Dr. Alpan has trained over 6,000 Invisalign providers, and he currently works as a study club leader for new Invisalign orthodontists.

Dr. Alpan is a 2009 Elite Invisalign Premier Provider and a member of the InvisalignCentury Club, an honor awarded to the top 100 Invisalign providers in the United States. Dr. Alpan and his team at Aesthetics Orthodontics work hard to stay abreast of the latest advancements in the field in order to bring their patients the most comfortable and effective treatments modern orthodontics has to offer.

In addition to the Las Vegas office, Dr. Alpan has locations in Beverly Hills and Los Angeles.

His team at Aesthetics Orthodontics is committed to delivering comfortable, effective orthodontic treatment in a pleasant, caring environment. Along with Invisalign and other treatments for malocclusion, Dr. Alpan and his team provide TMJ/TMD treatment and treatment for Muscular Skeletal Disorders (MSD) to help provide relief for patients suffering from headaches, neck and back pain, and other neuromuscular symptoms.

Las Vegas Invisalign, Las Vegas braces, clear braces, teeth straightening options, invisible braces, invisiline braces, invisalign dentist, straighten teeth tooth straightening, malocclusion, braces, aligners, teeth, dentist, orthodontics, Las Vegasorthodontist

Via EPR Network
More Healthcare press releases

Los Angeles Invisalign

At Los Angeles Invisalign Orthodontists – there is effective and definitive treatment available to address your crooked or misaligned teeth or jaws. In Beverly Hills and Los Angeles you need Dr. David Alpan and his Aesthetic Orthodontics team. Aesthetic Orthodontics is your source for information on orthodontic alignment including the new option to traditional, visible braces: Invisalign.

While many patients will still require the use of traditional braces to achieve optimal results,Invisalign is fast become a preferred option of treatment where possible. Invisalign does precisely what it name implies: It aligns teeth invisibly. Invisalign features a series of trays that are worn on the teeth. Each tray is used in sequence (changed every two weeks) and incrementally moves teeth into their ideal position. This process usually takes two years.

Traditional orthodontic treatment also can take up to two years, and sometimes longer for particularly complex cases, or cases involving mature patients (over the age of 25). Traditional orthodontic treatment may include the wearing of braces only, or may include surgical treatment. The exact staging of your treatment including any extraneous surgeries will be planned with Dr. Alpan, your general dentist and oral surgeon if necessary. If general dentist or oral surgeon services are required during this process, they will discuss their roles in your treatment specifically and offer you estimates for their aspect of the treatment.

Each treatment plan is designed according to each individual patient to address their needs and wishes. Your treatment plan may include:

1) The wearing of orthodontic brackets to move teeth into their ideal position;

2) Extraction of wisdom teeth: Wisdom teeth are known nuisances to ideal orthodontic alignment. There is the potential that they could affect successful alignment of teeth, or it may be that their removal will provide sufficient space to allow movement of the neighboring teeth. Wisdom teeth can also affect jaw alignment surgery;

3) Jaw alignment surgery. If this is an option in your treatment, it will often be done at the same time as extraction of your wisdom teeth. This surgery is meant to set the upper and lower jaws in their optimal position in relation to each other. This helps establish a function and healthy bite while chewing and a better facial profile in cases of underbites and overbites;

4) Expansion appliances may also be necessary to expand the upper jaw so that teeth meet properly for chewing.

Many times orthodontic alignment is also a chance to fix certain structural and profile issues associated with the mouth, cheeks, and lips and other deformities. Perhaps this is one other reason you have decided to investigate orthodontic movement. If not, it is something that you should be aware of. Dr. Alpan can discuss all the potential outcomes and risks involved. If you have any questions whatsoever, please discuss them before deciding to go ahead with treatment. If over the course of treatment you have questions or concerns, do not hesitate to contact Aesthetic Orthodontics’ Los Angeles office.

Remember each treatment plan is client specific and can only be determined and developed upon consultation and visual and radiographic evaluation by Dr. David Alpan. Please schedule an invisalign consultation, today, to discuss your treatment options.

Los Angeles Invisalign - Invisalign Los Angeles, California.

Via EPR Network
More Healthcare press releases

Smile South Florida Cosmetic Dentistry Is Announcing The Launch Of Its Patient Testimonial Video Gallery On Its South Florida Dentist Website, In Addition To Its Smile Gallery

Miami cosmetic dentist launches patient testimonial video gallery, in addition to its smile gallery. During its patient gratitude party, Smile South Florida’s top cosmetic dentist patients shared their dental experience with the world. Miami Cosmetic Dentist patient, Mary, a former hygienist, says that she always looks at smiles and feels that smiles “bring out the beauty in people.” She concluded her testimonial by saying: “I actually thought coming here was very relaxing… They make you feel at home and comfortable,” she said.

A Fort Lauderdale Cosmetic Dentist patient, Andrew, who is a business executive, explained that he interviewed many dentists, but their proposals were, in his words, “ridiculous… [and] outrageous.” After interviewing some Smile South Florida patients, he was “very pleased with what [he] saw…” Andrew echoed the doctors advice: “The concept he was trying to tell me was, whereas I was interested in being well, what was happening was an improvement in my well being,” he said.

The star at the patient gratitude party was ABC’s Extreme Makeover Dental Labowners’ mother, who is a Smile South Florida patient. She said, “For my son to send me here… it meant a lot to me…. You couldn’t find a better doctor and you couldn’t be in better hands….”

About Smile South Florida Cosmetic Dentistry

The cosmetic dentists at Smile South Florida Cosmetic Dentistry have offices in Broward County and West Palm Beach and provide patients Boca Raton Dentistry, Fort Lauderdale Dentistry and Miami Dentistry. The dentists specialize in dental aesthetics including porcelain veneers, dental implants, extreme makeovers Invisalign, and sedation dentistry. 

About Dr. Charles Nottingham

Palm Beach Cosmetic Dentist, Boca Raton Cosmetic Dentist, & Fort Lauderdale Cosmetic Dentist Charles Nottingham, D.D.S., Fellow in the Academy of General Dentistry, is an internationally and nationally renowned cosmetic dentist. He has been creating dazzling, healthy smiles for his patients since 1974.

About Dr. Kenneth Anenberg

Besides being an excellent cosmetic dentist and restorative dentist, Dr. Anenberg specializes in Invisalign, a revolutionary alternative to metal braces, and Sedation-Sleep Dentistry.

About da Vinci Dental Studios

DaVinci Studios (da Vinci Studios) is the dental lab service featured on ABC’s Extreme Makeover and Fox’s the Swan. For the last twenty years, our offices have been working with daVinci Studios to reconstruct thousands of smiles. Recently, we had the distinct honor of being selected by the owners of daVinci Studios to do a full mouth reconstruction on their mother.

Via EPR Network
More Healthcare press releases

Smile South Florida Is Announcing That It Has Added Language Translation On Its Website

Smile South Florida’s main focus for its website is the ease and usability of which its clients can find what they need. With so many of our patients coming from abroad, Smile South Florida needed to be able to speak to these patients needs too. “We are seeing such a large number of international patients,” says Heather, who 

is the New Patient Coordinator for Smile South Florida Cosmetic Dentistry. “Many patients want to take a trip to south Florida for vacation/holiday, and get their cosmetic dental work done at the same time, or receive treatment while they come here for a business trip,” Heather mentioned. “In all cases, people are more than willing to travel a great distance when it comes to their long term dental health and the aesthetics of their smile.”

To accommodate a broad range of clientele, the dental practice has added a new feature on our website called the ‘language bar.’ This language bar can be found on the left hand side in the navigation area of our website. It can be easily spotted as a bar that consists of several colorful flags. Each flag is representative of the language of origin for that specific country. When you click on each flag, the website will automatically change to display that language. For example, if you click on the flag of France, the website will be translated into French for you. Currently, the dental practice website can be translated into French, Spanish, Portuguese, German, and Italian.

This makes it much easier for someone to read about the office, the services, and obtain contact information. Having a tool like this is very useful because it reaches across nations. Smile South Florida is helping patients everyday from all over the world achieve the smile of their dreams!

About Smile South Florida Cosmetic Dentistry

The cosmetic dentists at Smile South Florida Cosmetic Dentistry have offices in Broward County and West Palm Beach and provide patients Boca Raton Dentistry, Fort Lauderdale Dentistry and Miami Dentistry. The dentists specialize in dental aesthetics including porcelain veneers, dental implants, extreme makeovers Invisalign, and sedati on dentistry.

About Dr. Charles Nottingham 

South Florida Dentist & Miami Cosmetic Dentist, Charles Nottingham, D.D.S., Fellow in the Academy of General Dentistry, is an internationally and nationally renowned cosmetic dentist. He has been creating dazzling, healthy smiles for his patients since 1974. Contact Details: 7401 N. University Drive, Suite 207 • Tamarac, FL 33321 • 954.721.6950 • 954.726.4292 7301-A W. Palmetto Park Rd. #303-C • Boca Raton, FL 33433 • 561.347.7757

Via EPR Network
More 
Healthcare press releases

Full-Mouth Rehabilitation and Bite Management of Severely Worn Dentition

Introduction
Creating a beautiful smile for a patient is extremely rewarding for the dentist as well as for the team, and this should never be taken for granted. We are blessed with the ability to change someone’s self esteem, confidence and, possibly, the course of their life.

The case presented here was featured on the cover of the Spring 2008 issue of The Journal of Cosmetic Dentistry. While it was quite challenging, I will never forget this case,, as it changed the life of a recovering bulimia patient. Eating disorders affect approximately seven million people in the United States. Although I have seen the effects of bulimia on the dentition previously, never have I witnessed it to this extent.

The patient was diagnosed with loss of vertical dimension as a direct result of bulimia and bruxism.

Patient History
The patient, a 30-year-old female, wanted to improve her smile and to address the constant fracturing of her teeth. Although it was difficult for her to discuss, she told me about her history of bulimia and that after a long struggle, she is now recovered. She was ready not only to change her smile, but also to see what could be done about her “collapsing” face, as she put it. She confessed that her unwillingness to smile was affecting her socially and that she always covered her mouth when she laughed (Fig 1).

Clinical Evaluation and Diagnosis
After performing a thorough clinical examination, I noted a severely worn dentition, widespread abfraction lesions, and multiple fractured teeth and restorations. The palatal surfaces of the maxillary anterior teeth were completely eroded and devoid of enamel, as is typically seen with bulimic patients (Figs 2 & 3). As expected, the patient’s teeth were very sensitive to temperature changes. Tooth #5 had been extracted due to a fractured root, and in its place was a successfully osseointegrated implant (Straumann USA; Andover, MA) that had been placed one year earlier. She had lost approximately 30% of the length of her central incisors due to attrition. Upon radiographic examination, no severe decay or pulpal pathology was evident. Periodontal probing depths were within normal limits.

The patient suffered f r o m many typical symptoms of temporomandibular disease (TMD), such as joint pain, severe headaches, tinnitus, and orofacial muscle pain with spasms.1These symptoms were not surprising, as craniomandibular dysfunction is often seen with loss of vertical dimension. She was also a severe bruxer and said this provided her with relief. Due to this vertical loss, the lower third of her face was collapsed and disproportionate. The patient was diagnosed with loss of vertical dimension as a direct result of bulimia and bruxism; this was accompanied by multiple fractured, eroded teeth, and worn restorations. Additionally, the patient had facial asymmetry and multiple TMD symptoms due to craniomandibular dysfunction.2

She tolerated the orthotic well and felt much better with it in place.

Treatment Plan
Initially this case was overwhelming, as there were so many factors necessary to achieve a successful treatment outcome. After mounting and studying the casts, it was obvious that the patient’s vertical dimension had to be increased to a proper, comfortable position, which has been called the physiologic neuromuscular position.3 Once this position was determined, an orthotic appliance would be worn to verify that this proposed position was in fact well tolerated and that the TMD symptoms had decreased significantly. During the orthotic therapy phase, this appliance would be worn for a minimum of three months (for a minimum of 22 hours a day), to determine whether it would help before any permanent alteration of the patient’s teeth.

During this time, her condition would be evaluated for elimination of symptoms, proper occlusion, improvement in facial symmetry, esthetics, and acceptable phonetics. If we had not seen improvements during the orthotic phase, the first thing we would have looked at was compliance. If it had been determined that the patient was not wearing the appliance as instructed, or if the therapy had had to be extended beyond three months (due to inconsistent symptoms or an unstable bite position), we would have used a fixed orthotic appliance, which would have been fabricated to the same vertical dimension as the removable orthotic.4

The goal, for any clinician, is to find a position in which the patient’s symptoms are eliminated, or at least decreased significantly. The facial and dental esthetics also must be greatly enhanced. Although there is more than one way to find this physiologic position, in this case I objectively measured muscle activity by using electromyography (EMG) instrumentation (Myotronics-Noromed; Kent WA). This enabled me to locate the correct resting position for the mandible where the muscles are at rest, as well as the correct opening and closing trajectory.5 During the course of orthotic phase therapy, which can last several months to a year, the patient returns to verify the bite and evaluate symptoms several times. Once it is determined that the patient is comfortable, facial esthetics are improved, and the EMG muscle activity is verified to be physiologic, then the restoration phase can begin.6,7

Treatment Discussion
The first step in this case was to determine how much to increase the patient’s vertical dimension. Once this position was determined, it was imperative to test and verify it; and, most importantly, to maintain it throughout the different phases of treatment. The treatment phases were as follows: Orthotic, preparation, temporization, and cementation.

Finding the Bite
To evaluate the state of the patient’s habitual bite position, we had to record and evaluate EMG readings of several muscle groups bilaterally (K7 instrumentation, Myotronics-Noromed). The muscle groups measured were the anterior and posterior temporalis muscles, the masseters, and the anterior digastrics. Electrodes were placed over these muscle groups and electromyographic recordings were made. High EMG readings represented a state of muscle hypertonicity and unrest. The goal was to find the occlusion where the muscles that control jaw position are in a relaxed state, and therefore are at their ideal resting length for optimal function and comfort.8,9

To find a more optimal bite position, a series of diagnostic tests were performed. These included electrosonography to record and analyze joint sounds, electromyography to record and analyze muscle activity, and computerized mandibular scanning (CMS) to track and analyze jaw movements. It was determined that the patient’s habitual occlusion was in a muscular state of hyperactivity when at rest and in light centric occlusion (Fig 4). In order to relax her muscles, which were in a chronic spasmodic state, ultra-low frequency transcutaneous electrical neural stimulation (TENS) was applied using a myomonitor (Myotronics). The myomonitor stimulates cranial nerves V, VII, and XI to relieve hypertonicity, restore normal blood flow, and wash away toxic wastes such as lactic acid. This restores the muscles temporarily to a relaxed and normal resting length (Fig 5). These muscles become “deprogrammed,” and, by measuring their pre- and post-relaxation status, we are provided with precise and objective comparative data.10,11 The details of all the tests performed during the three-hour diagnostic appointment are beyond the scope of this article.

The position at which this patient’s muscles were in their most relaxed state was captured by using a polyvinyl siloxane bite registration material (Regisil, Dentsply Caulk; Milford, DE). Impressions were then taken (Aquasil Ultra, Ivoclar Vivadent; Amherst, NY) and sent to the laboratory with the bite to fabricate a lower removable orthotic. Upon delivery of this appliance, I explained to the patient that it must be worn a minimum of 22 hours a day. Each follow-up visit always consisted of 45 minutes of TENS, followed by any necessary occlusal adjustments to the orthotic. The patient was seen at one-, two-, three-, four-, and sixweek intervals. She tolerated the orthotic well and felt much better with it in place; therefore, compliance was not an issue.12,13

Once it was determined that the bite was stable and that symptoms were significantly reduced, EMG recordings were taken again to verify that the muscles were not hypertonic in this new position. In this case the EMG readings were more than satisfactory, and the patient’s headaches and other symptoms were reduced significantly. Therefore, I had great confidence as to where to restore her occlusion.14 Her bite was opened 4 mm. The next phase of treatment was the restorative phase.

Bite Management
(Laboratory Phase) Much effort was spent determining the proper physiologic position for this patient, and much care had to be taken in managing and maintaining this position throughout the course of treatment. Prior to the preparation appointment, new impressions were taken and sent to the laboratory, along with the actual adjusted orthotic to mount the case. In addition, three measurements were provided so that the laboratory could verify that the case was properly mounted. These measurements were taken with a digital Boley gauge. The areas measured were where the most apical areas of tooth surface intersect with the gingiva between teeth #8 and #25, #14 and #19, and #3 and #30 (Figs 6 & 7). In this situation, the dentist and the laboratory must measure in the exact same three locations throughout the course of treatment, so as to ensure accuracy and precision in maintaining the new vertical (Figs 8 & 9).

Once the laboratory mounted the casts with the adjusted orthotic in place and the three measurements were verified, a bite stent (Sil-Tech, Ivoclar Vivadent) was made, to be utilized during the preparation appointment to ensure accuracy in maintaining the new vertical dimension. The appliance was then immediately returned to the patient so that she could continue to wear it. The laboratory also was provided with detailed instructions concerning the smile design, including widths and lengths of anterior teeth, shapes, and proportions.15

Because the patient’s maxillary anterior teeth were short, it was determined that crown lengthening was necessary to support the restorations. Therefore, the proposed amount of hard and soft tissue removal was relayed to the laboratory so that they could compensate for the change in measurement in this area. With this information in hand, they waxed up the 28 teeth in the new position, taking into consideration the hard and soft tissue reduc-tion in the anterior; and once again verified the three measurements (Fig 10). From this wax-up, they prepared a temporization stent made f r o m Sil-Tech putty and relined with a light-body wash material (Aquasil XLV, Dentsply Caulk). This would be used to fabricate the 28 temporaries after tooth preparation, with the same vertical dimension and occlusion as the orthotic.

Bite Management
(Preparation Phase) Prior to the preparation appointment, I ensured that I received everything necessary f r o m the laboratory. First, I verified that the waxed-up models were consistent with the three measurements I had provided to the laboratory, by measuring the teeth in the exact same three locations. Second, I verified that I was satisfied with the smile design and occlusion. As this was to be a lengthy appointment, the clinical team met and reviewed procedures.

After the patient was seated, I verified the bite stent that had been made on her unprepared, mounted models by placing it in her mouth and having her close down on it. I again measured the same three locations and verified that those measurements were the same as they were with the orthotic in place (Fig 11). I was confident that all of my numbers were accurate, so it was time to begin preparing the teeth.

It was imperative not to lose control of the bite at any time during the preparation.

After anesthetizing the patient, the first step was to perform the soft and hard tissue crown lengthening in the maxillary anterior region to improve the length of her short clinical crowns. To accomplish this, I used an Er,Cr:YSGG hard/soft tissue laser (Waterlase, Biolase Technologies; Irvine, CA) and at the same time performed a frenectomy between the maxillary central incisors. Using this laser provided a predictable result and gave me a clean field within which to work. I removed 1.2 mm of tissue and therefore changed the location of my uppermost point for measurement after the crown lengthening. I had to adjust my number for verification f r o m this point on, in this area only16 (Fig 12).

It was imperative not to lose control of the bite at any time during the preparation. To help in maintaining this vertical dimension, I used the bite stent provided by the laboratory to sequentially reline it while I prepared one quadrant at a time. Beginning with the upper right quadrant, I prepared ##3-8, while leaving #2 unprepared to provide extra stability while I relined the bite stent. To register the bite, I sat the patient upright and placed a small amount of fast-setting bite registration material (Regisil Rigid) in the bite stent, being careful not to overfill it and to reline only the prepared teeth. This was then placed in the mouth with the patient biting into it. While the stent was in her mouth, the same three locations were measured again, remembering that the anterior area had a new measurement. If the measurements had not matched those taken previously it would have been necessary to repeat the reline, as the patient might have been biting incorrectly or the bite stent might not have been seated over the teeth properly.

Once it was determined that the measurements were correct, the stent was removed, trimmed, and set aside for the next quadrant. The same procedure was repeated for the upper left quadrant, preparing ##9-14 and leaving tooth #15 unprepared. This quadrant was then relined the same way. After the measurements were verified, I prepared #2 and #15 (Fig 13). This procedure was repeated for the bottom right quadrant and then the bottom left. A final check of the measurements was made and the bite stent was set aside to send to the laboratory along with final impressions. For these, I used a PVS heavy-body material and an extra-low viscosity wash material (Aquasil Ultra-heavy and XLV). A symmetry bite was also taken, indicating to the laboratory the proper occlusal plane and midline. Photographs of the preparations, which showed the measurements with the final bite stent seated and with the symmetry bite in place, were provided for the laboratory.

Temporization
The provisional restorations were fabricated using the temporary stents made f r o m the wax-up. The stents were filled with temporary material (Luxatemp shade B1, Zenith/DMG; Englewood, NJ) and placed over the maxillary prepared teeth. After three minutes the stent was removed, as was a small amount of flash. This procedure was repeated for the bottom teeth. Once the provisionals were in place, all three measurements were once again verified; at this time we evaluated esthetics and occlusion. To properly maintain the health of the gingival tissue during the four-week provisional phase, the patient was given a sonic toothbrush (Sonicare, Philips Healthcare; Andover, MA), as well as instructions on how to use rubber tips to massage her tissue. A follow-up visit was scheduled for the next day to confirm that the occlusion was comfortable and that we were both satisfied with the smile design.

Laboratory Communication
Proper communication with the laboratory is crucial for a successful outcome in each and every case sent to our ceramist. In this case, it was important to send as much information as possible with regard to maintenance of the patient’s vertical dimension, as well as esthetics. Photographs showing all three measurements in the final bite stent, as well as in the provisionals, were sent to the laboratory. In addition, retracted frontal and lateral views of the preparations were provided, as well as a picture showing the prepared shade (Vita A3, Vident; Brea, CA).17 When the laboratory received the case, the first step was to verify the measurements after mounting the prepared models. This was accomplished by using the relined bite stent and verifying the accuracy of the vertical dimension in the same three locations.

For the smile design, we decided on a “soft” look with square oval central incisors and slightly rounded laterals and canines, with the lateral incisors 0.5 mm shorter than the centrals. The requested width of the central incisors was 8.25 mm and the length was 10.75 mm. The lateral incisors were approximately 10.25 mm long. Golden proportion rules and smile design principles were adhered to, which provided the patient with a very soft and esthetically pleasing smile. Our final shade choice was OM2 body with a cervical blend to OM3 (Vita 3D Master shade guide), with the canines blending f r o m OM2 to 1M1 cervically. We selected Authentic pressable ceramic (Jensen Indus-tries; North Haven, CT) for all anterior teeth and bicuspids, using an OP1+ ingot with cutback technique and adding intense opaque modifiers to increase vitality and a natural appearance (Fig 14).18All of the molars were restored with Noritake CZR pressable ceramic (Zahn Dental, Henry Schein; Melville, NY) over zirconia copings.19 The #5 implant was restored with a custom abutment with Creation porcelain (Jensen Industries). Prior to the fabrication of the restorations, the models were mounted using the preparation bite stent, and all the measurements were verified by the laboratory (Figs 15-18).

Cementation
After we received the case f r o m the laboratory, I checked the restorations on the models for proper margins and contacts, and to ensure that the smile design had been followed. Once all the restorations were mounted on the models, the three areas were measured to verify that the laboratory maintained the vertical dimension. Once the patient was anesthetized, the provisional restorations were removed. The prepared teeth were cleaned with pumice, followed by hydrogen peroxide and chlorhexidine (Consepsis, Ultradent; South Jordan, UT). Each restoration was tried on with water and inspected individually. Contacts and margins were examined, as was the overall smile design.

Once we were satisfied with restorations, they were cleaned with 37% phosphoric acid, rinsed, dried, and set aside. The molars were cemented first using Multilink (Ivoclar Vivadent), a self-etching universal resin cement, with the inside of the restorations coated with the metal/zirconia primer (Ivoclar Vivadent). Then all of the remaining upper teeth except #5 were etched with 37% phosphoric acid and rinsed, after which a wetting agent was applied (Super Seal, Phoenix Dental; Fenton, MI).20 Then the bonding agent (Excite, Ivoclar Vivadent) was placed on the teeth according to manufacturer’s directions and light-cured. The restorations, which had previously been etched with hydrofluoric acid, were coated with Silane primer (Kerr; Orange, CA). The luting resin used for cementation was Variolink Veneer +2 (Ivoclar Vivadent). All of the restorations were placed simultaneously and spot-cured. The excess was then removed, followed by the final light-cure. Tooth #5 was cemented with implant cement (Premier Dental; Plymouth Meeting, PA).21 The same technique used on the maxillary teeth was applied to the lowers. Once all teeth were cemented, the three measurements were once again verified to confirm maintenance of the vertical dimension (Fig 19). The patient returned for follow-up appointments to make sure her bite was stable and that she remained symptom-free.

Conclusion and Discussion
This patient’s case involved many of the challenges we face daily in our practices. Just a few years ago, however, I would not have known in which direction to take her treatment. Perhaps I simply would have provided her with a bruxism appliance, while “patching up” some of her fractured restorations and attempting to improve her smile by restoring some of her anterior teeth with direct resins. These would have failed repeatedly, causing us both much frustration.

I conducted a series of diagnostic tests using computerized instrumentation, which provided me with objective data that I was able to use in my treatment planning.

The key point is that this patient initially exhibited severe occlusal disharmony and craniomandibular dysfunction. This can be the case in many of our patients, and much effort should be spent in proper diagnosis and treatment planning.22 I did not prepare 28 teeth in one visit and deliver them a few weeks later. Instead, I conducted a series of diagnostic tests using computerized instrumentation, which provided me with objective data that I was able to use in my treatment planning. Not until the patient’s new vertical dimension position was tested for several months did I dare touch a single tooth with a handpiece. Once I did, however, it was with great confidence, because I knew in which direction I was headed (Figs 20 & 21).

It is well accepted that there is more than one philosophy or method that can be utilized to arrive at a physiologic bite position. A discussion of these different philosophies— whether centric relation, centric occlusion, or neuromuscular—is beyond the scope of this article.23 However, as responsible clinicians, we should study the different treatment modalities available to our profession before making a decision as to which one suits us. Whichever method you apply in your practice, the most important factor is that it must be in your patients’ best interests.24 Before proceeding to final restorations, it is imperative to establish a comfortable, stable bite derived f r o m verifiable, objective clinical data (Figs 22-29).

Acknowledgments
The author thanks Duckee Lee, CDT (Protech Dental Studio, Sterling, VA), for his passion, talent, and technical excellence in creating the beautiful restorations in this case. A debt of gratitude also goes to the American Academy of Cosmetic Dentistry for 13 years of excellent continuing education, camaraderie, and a remarkable credentialing program, in which he learned during his Accreditation journey that, “your hand can only perform what your eyes have been trained to see and comprehend”; and to the Las Vegas Institute for Advanced Dental Studies for its dedication to postgraduate education. Finally, thanks, appreciation, and best wishes goto Erica, the patient in this case, for her patience, kind spirit, and courage.

References

1. Okeson JP. Management of Temporomandibular Disorders and Occlusion (3rd ed.). St. Louis, MO: Mosby; 1985.

2. Coy RE, Flocken JE, Adib F. Musculoskeletal etiology and therapy of craniomandibular pain and dysfunction. Cranio Clin Int 1(2):163-173, 1991.

3. Jankelson RR. Neuromuscular Dental Diagnosis and Treatment. Volume 1 (2nd ed.). Tokyo: Ishiyaku EuroAmerica; 2005.

4. Naeije M, Hansson TL. Short-term effect of the stabilization appliance on masticatory muscle activity in myogenous craniomandibular disorder patients. J Craniomand Disord Facial Oral Pain 5:245-250, 1991.

5. Ormianer Z, Gross M. A 2-year follow-up of mandibular posture following an increase in occlusal vertical dimension beyond the clinical rest position with fixed restorations. J Oral Rehab 11:877-883, 1998.

6. Liu ZJ, Yamagata K, Ito G. Electromyographic examination of jaw muscles in relation to symptoms and occlusion of patients with TMJ disorders. J Oral Rehab 26(1):33-47, 1999.

7. Neill DJ, Howell P. Computerized kinesiography in the study of mastication in dentate subjects. J Prosthet Dent 55(5):629-638, 1986.

8. Mongini F, Tepia-Valenta G, Conserva E. Habitual mastication in dysfunction: A computer-based analysis. J Prosthet Dent 1:484-494, 1989.

9. Jankelson B. Three dimensional orthodontic diagnosis and treatment: a neuromuscular approach. J Clin Orthod 18(9):627-636, 1984.

10. Ow RK, Carlsson GE, Jemt T. Craniomandibular disorders and masticatory mandibular movements. J Craniomand Disord Facial Oral Pain 2(2):96-100, 1988.

11. George J, Boone M. A clinical study of rest position using the kinesiograph and myomonitor. J Prosthet Dent 41(4):456-462, 1999.

12. Konchak P, Thomas N, Lanigan D, Devon R. Freeway space using mandibular kinesiography and EMG before and after TENS. Angle Orthod 58(4):343-350, 1988.

13. Balciunas BA, Stahling LM, Parente FJ. Quantitative electromyographic response to therapy for myo-oral facial pain: A pilot study. J Prosthet Dent 58:366-369, 1987.

14. Isberg A, Widmalm S, Ivarsson R. Clinical, radiographic, and electromyographic study of patients with internal derangement of the temporomandibular joint. Am J Ortho 88(6)453-460, 1985.

15. Griffin JD. How to build a great relationship with the laboratory technician: Simplified and effective laboratory communications. Contemp Esthet 10(7):26-34, 2006.

16. Colonna M. Crown and veneer preparations using the Er,Cr:YSGG Waterlase hard and soft tissue laser. Contemp Esthet Rest Pract 10:80-86, 2002. 17. Bengel W. Mastering Dental Photography Hanover Park, IL: Quintessence Pub.;2002.

18. Magne P, Belser U. Bonded Porcelain Restorations in the Anterior Dentition: A Biomimetic Approach. Hanover Park, IL: Quintessence Pub.; 2002.

19. Ludwig K. Studies on the ultimate strength of all-ceramic crowns. Dent Laboratory 39:647-651, 1991.

20. Kanca J. Improving bond strength through acid etching of dentin and bonding to wet dentin surfaces. JADA 123:35-44, 1992.

21. Garg AK. Practical Implant Dentistry (1st ed.). Dallas, TX: Taylor Publishing; 2007.

22. Tingey EM, Buschang PH, Throckmorton GS. Mandibular rest position: A reliable position influenced by head support and body posture. Am J Orthod Dentofac Orthop 120(6):614-622, 2001.

23. Pully ML, Carr S. Solving the pain puzzle: Myofascial pain dysfunction (3rd ed.). Albuquerque, NM: TMData Resources; 1997. 24. Shankland WE . Temporomandibular disorders: Standard treatment options. Gen Dent 52(4):349-355, 2004.

 

Via EPR Network
More Healthcare press releases

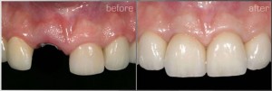
I Have Never Seen A Smile Gallery As Extensive As Smile South Florida’s And Where The Final Result Of Every Case Is Of Such A High Standard

Want to see the results produced by the professionals at Smile South Florida Cosmetic Dentistry? The proof is on the walls.

Congenially Missing TeethNothing seems to show what a dental procedure can do for an individual like before-and-after photos.

With that in mind, Smile South Florida Cosmetic Dentistry in Fort Lauderdale created a Smile Gallery to show patients the great results that can be achieved through cosmetic dentistry.

“It’s one thing to tell patients what we can do for them,” said Dr. Charles Nottingham, a cosmetic dentist who is the senior partner at Smile South Florida Cosmetic Dentistry. “It’s another thing to show them.”

Nestled within each elegant bronze frame that lines the newly renovated hallways, are two (8-inch x 10-inch) photos of patients’ smiles- one before photograph displaying their dental procedure and one after.

Missing and Misaligned Teeth“The patients love it,” said Office Manager Marianne Taylor. “This was the best thing to ever happen because patients see these photos and seem to feel encouraged that they are going to leave here with their desired results.”

When Taylor discusses procedures such as laminates orporcelain veneers with patients, she can walk them through the hallway and point to a visual of how the completed procedures look.

Several types of procedures are featured in the Smile Gallery.

Congenital Malformation

It is not uncommon for people to be born without certain teeth. More than five percent of people lack upper second incisors or second premolars. One example of this in the Smile Gallery shows how a patient’s missing anterior teeth were restored using two fixed porcelain Lava Bridges. The premolars were restored with porcelain veneers.

Overlapped, Crowded and Crooked Teeth

Teeth that are overlapped, crowded or crooked can cause oral health problems, such as periodontal disease, cavities and uneven wear. One example pictured in the Smile Gallery shows how a patient’s smile was restored by placing porcelain crowns on the upper teeth to give the patient a straighter, wider smile than her original upper arch, which was too narrow and tilted inward.

Poorly Shaped Teeth

Photos in the Smile Gallery show how natural teeth that are oddly shaped and pointed in different directions can be improved with porcelain restorations.

Reverse Smile and Small Teeth

An imaginary line around the incisal edges of the upper front teeth should follow the superior border of the lower lip. This is called the “smile line.” When the centrals appear shorter than the canines, this is referred to as the “reverse smile line.” Smile Gallery photos show how this problem can be corrected by using porcelain veneers and crowns to create longer central teeth, a wider arch and improve the shape of the teeth.

Spaces, Stains and Failed Fillings

One dramatic Smile Gallery photo shows how proper fitting and anatomically correct porcelain crowns were used to close the spaces between teeth, decrease the flair of upper anterior teeth and re-contour the teeth.

“The Smile Gallery not only shows patients various types of dental improvements achieved through cosmetic dentistry, it gives patients confidence to follow through with suggested procedures”, Taylor said.

Taylor recalled a recent patient who was so self-conscious about her teeth; she feared showing them to the dentist. Once Taylor walked the patient through the smile gallery and showed her the ‘before’ pictures of several other patients, the woman felt less self-conscious.

“This woman thought she was going to be the absolute worst case the doctors had ever seen,” Taylor noted. “One trip through the Smile Gallery showed her this was not true.”

About Smile South Florida Cosmetic Dentistry

The dentists at Smile South Florida Cosmetic Dentistry have offices in Broward County and West Palm Beach and serve patients from Boca Raton to Fort Lauderdale and Miami. The dentists specialize in dental aesthetics including porcelain veneers, dental implants, extreme makeovers, Invisalign, and sedation dentistry.

About Dr. Charles Nottingham

South Florida Dentist & Dentist in Florida, Charles Nottingham, D.D.S., Fellow in the Academy of General Dentistry, is an internationally and nationally renowned cosmetic dentist. He has been creating dazzling, healthy smiles for his patients since 1974.

Via EPR Network
More 
Healthcare press releases

Dentist Dr. Charles Nottingham and the Extreme Makeover Dental Lab Film Dental Documentary

Smile South Florida® Cosmetic Dentistry is announcing that it will be joining forces with da Vinci Dental Studios (ABC’s Extreme Makeover Dental Lab) to begin filming a dental documentary piece, which will be produced by the Emmy Award Winning Plum Television. This documentary will air on Plum Television (Miami Beach Channel 5) in April 2009. The story behind the piece is to provide viewers with insight into the shared values and history of da Vinci Dental Studios and Smile South Florida Cosmetic Dentistry.

Dr. Nottingham

Da Vinci’s founder, Daniel Materdomini, will be featured in the film, along with Smile South Florida Cosmetic Dentist, Dr. Charles Nottingham. Mr. Materdomini and Dr. Nottingham have been working together for over 20 years, taking cosmetic dentistry to a new level of excellence. Mr. Materdomini and da Vinci Dental Studios have showcased Dr. Nottingham’s smile gallery cases in several predominant dental magazines. Dr. Nottingham even performed restorative work on Mr. Materdomini’s mother.

In offering feedback on the work that South Florida Dentist Dr. Nottingham completed for his mother, Mr. Materdomini said that, “if the Extreme Makeover show was filmed in Florida, I am sure [Dr. Nottingham] would be the providing dentist.”

During filming, Dr. Nottingham explained to Plum TV that many years before ABC’s Extreme Makeover Show made da Vinci Dental Studios a household name for porcelain veneers, Dr. Nottingham had selected them as his dental lab of choice. With hundreds of dental labs in the local area to choose f r o m, Dr. Nottingham decided to have his dental materials shipped across the country, in order to perfect his results. Dr. Nottingham went on to mention that da Vinci continues to share his commitment to quality and service.

About Smile South Florida Cosmetic Dentistry The dentists at Smile South Florida Cosmetic Dentistry have offices in Broward County and West Palm Beach and serve patients f r o m Boca Raton to Fort Lauderdale and Miami. The dentists specialize in dental aesthetics including porcelain veneers, dental implants, extreme makeovers, Invisalign, and sedation dentistry.

About Dr. Charles Nottingham Palm Beach Dentist & Fort Lauderdale Dentist, Charles Nottingham, D.D.S., Fellow in the Academy of General Dentistry, is an internationally and nationally renowned cosmetic dentist. He has been creating dazzling, healthy smiles for his patients since 1974.

About da Vinci Dental Studios da Vinci Dental Studios, founded in 1976 by master ceramist Daniel Materdomini, who introduced the first porcelain veneer on the West Coast. Well-known for the da Vinci VeneerTM, which has been featured on numerous national and international television makeover shows, da Vinci Dental Studios is a full-service laboratory, manufacturing a wide-range of cosmetic and restorative products for dentists. Located in West Hills, California, da Vinci provides services for dentists throughout the United States, Canada, South America and Europe.

About Plum Television Plum operates television channels and websites in Nantucket, Martha’s Vineyard, the Hamptons, Miami Beach, Sun Valley, Vail, Aspen and Telluride; destinations of choice for over 14 million of the nation’s most interesting and influential people each year. They are Plum’s audience as well as its content. Plum is available to a broader audience beyond its communities through video on demand and the Internet at plumtv.com.

Via EPR Network
More 
Healthcare press releases

Smile South Florida Cosmetic Dentistry Films Patient Gratitude Party in Fort Lauderdale, Miami, & Boca Raton

Top patients of Miami Cosmetic Dentist & Palm Beach Cosmetic Dentist, Dr. Charles Nottingham will be attending. They will be providing video testimonials, which will be placed on Smile South Florida’s website. Some videos may be featured on Plum Television.

One of Dr. Nottingham’s patients, who is expected to participate, is Salvatrice Materdomini. Mrs. Materdomini is the mother of the owners of ABC’s Extreme Makeover Dental Lab. After Dr. Nottingham treated Mrs. Materdomini for restorative work, the owners of da Vinci said, “If the Extreme Makeover show was filmed in Florida, I’m sure you would be the providing dentist.”

Patients will be served champagne, cake, and assorted crudités. When patients leave, they will be given goody bags. Professional make-up artist Ana Baidet will be doing camera ready touch-ups and airbrushing. The Emmy Award Winning TV station Plum Television will be filming the event.

About Smile South Florida Cosmetic Dentistry

The dentists at Smile South Florida Cosmetic Dentistry have offices in Broward County and West Palm Beach and serve patients from Boca Raton to Fort Lauderdale and Miami. The dentists specialize in dental aesthetics including porcelain veneers, dental implants, extreme makeovers, Invisalign, and sedation dentistry.

About Dr. Charles Nottingham

Cosmetic Dentist in Florida, Charles Nottingham, D.D.S., Fellow in the Academy of General Dentistry, is an internationally and nationally renowned cosmetic dentist. He has been creating dazzling, healthy smiles for his patients since 1974.

About Plum Television

Plum operates television channels and websites in Nantucket, Martha’s Vineyard, the Hamptons, Miami Beach, Sun Valley, Vail, Aspen and Telluride; destinations of choice for over 14 million of the nation’s most interesting and influential people each year. They are Plum’s audience as well as its content. Plum is available to a broader audience beyond its communities through video on demand and the Internet at plumtv.com.

Via EPR Network
More
Healthcare press releases

The Wöhrle Dental Implant Clinic of Newport Beach California

Name of Practice/ Location

The Wöhrle Dental Implant Clinic delivers unprecedented patient care and convenience by offering all aspects of implant therapy in one cutting edge facility. While typical implant dentistry involves patients traveling back and forth between specialty and/or general practice offices, The Wöhrle Clinics are staffed by doctors encompassing skills in implant surgery, implant prosthodontics and implant laboratory technology. Additionally, the Wöhrle Dental Implant Clinic comprises a state-of-the-art office with CAT scanning and computer guided surgical technology onsite. Minimally invasive techniques, based on computer guided surgery, are routinely performed for better outcome and patient comfort.

Equipment & Technology

iCAT
The volumetric images obtained by the iCAT are high-resolution, three-dimensional views of the patient’s anatomy. In the Clinic, low radiation and fast turnover are extremely important for a routine application prior to any implant placement. From initial scan to discussing treatment options with the patient typically takes less than 2 minutes. At that point, I present the findings to the patient and present different treatment options with confidence. Critical information such as available osseous height and width, proximity to vital structures and adjacent teeth and potential need for grafting procedures are easily visualized by experienced users. In addition, the data collected will be used later for the virtual surgery within the NobelGuide software.

NobelGuide and Procera
Using NobelGuide enables me to diagnose and treatment plan every patient in a most efficient and predictable way. Once diagnostic appliances have been fabricated, the CAT-scan is used to place the implants in a virtual environment. Based on this information, a surgical template is fabricated, which transfers the virtual planning exactly to the patient’s anatomy, and implants can be delivered precisely, when indicated in a flapless approach. Simultaneously, interims restorations can be prefabricated and placed at the time of implant installation.

Once soft- and hard tissue remodeling has occurred, final impressions are taken. Restorations are completed using the Procera system, in either zirconia, alumina, or titanium, depending upon the patient’s needs and desires. Studies have shown that the marginal fit and strength of these restorations is superior to anything else on the market; in addition, the aesthetic outcome satisfies even the most critical patient.

Mac practice / Apple Computers
I have been a Mac aficionado since the introduction of the first Apple Macintosh. In a dental practice, it was hard to incorporate the Mac as most of the software was designed to run on PCs. We had a split system, PC for office administrative aspects, Macs for patient education, slide collection and organization, and for the preparation of lectures. Of course, any videos we took were handled on the Mac side as well. Then we switched our office administration software to MacPrcatice DDS, which was developed specifically for Mac OS X. Since then, we have eliminated most of our PCs, and most of the problems have gone away along with the PCs. All operatories, surgical suites, the treatment plan room, the front and back offices, all have their own Apple computers, and all share the same network. The support we receive from MacPrcatice is outstanding, and new developments keep on coming, like the iPhone interface, allowing me to check either the schedule, patient records or anything else that is documented in the system from any place in the world. The biggest advantage of using this system is the user friendliness that Macs are known for. With minimal training, motivated staff members can learn the intricacies of the system within a very short time.

Binocular Loupes
Magnification in dentistry is an absolute must – the first step in quality control. Since the beginning of my training in dentistry I am used to work with magnification, either at the bench or in the operatory. The right combination of comfortable glasses with adequate magnification and depth of field is hard to find among the many manufacturers. In addition, a headlight is needed in most cases where direct overhead light is either blocked or not in the same long axis. Using the most advanced combination of loupes and headlight, the Heine 3S unplugged, has made it easier for me to routinely see better, and thus being able to deliver better quality of care to my patients, all without any cable hanging off my back.

Via EPR Network
More
Healthcare press releases

Lumineers: Some Common Misconceptions

We, at Smile South Florida Cosmetic Dentistry, pride ourselves on giving you the highest level of customer service and latest technology in dentistry offered today. We are always upfront with our patients and treat them as if they are all a part of our dental family.

Our goal is to educate patients on some common misconceptions in dental marketing that can be misleading and not give the entire story. One such example is with the popular brand Lumineers by Cerinate.

Lumineers are considered a type of porcelain veneer “smile shaper” that boasts catch phrases such as “no reduction of tooth structure (no filing down of teeth), no shots, 2 easy dental visits, permanently whitens” and many others. While these statements can have some string of truth behind them, in most cases this will not be the situation –not if you ask any top cosmetic dental professional.

While the popular Lumineers can, in very few situations, be completed in 2 easy visits with little to no pain, drilling, and preparation, this is not going to be necessarily true for everyone. It all depends on the condition of the teeth, and what the best treatment scenario would be to give the best aesthetic outcome. If a patient has very bulky teeth and wanted to place even the “contact lense thin” Lumineer shell over the tooth, some preparation and drilling would be necessary for the outcome to have a better, less bulky look. There are other situations where the patient would not be a candidate for Lumineers. It would all need to be determined by a cosmetic dentist.

As far as the color and shade of the Lumineers, there is not a variety of color choiceslike traditional veneers. Veneers colors and shades are specifically selected by the doctor and the patient together so that the best result is achieved. With Lumineers, there is no variation so everyone will get the same result regardless of what the best color/shade would be for each individual person.

If you look at the before and after photos featured on the Lumineers website, you will see some improvements in the look of the teeth after Lumineers have been used. I am not discrediting that they can make a change in people’s dental aesthetics; however, compared to traditional veneers and crowns, the differences are very substantial. If you look at our smile galleries and the before and after pictures, you can compare the dramatic differences in the quality of the aesthetics for our patients.

When you are thinking of a south florida dentist or a dentist in florida for Lumineers treatment, make sure you do your research to make an informed decision, and consult a dental professional that has done extensive quality veneers cases.

The dentists at Smile South Florida Cosmetic Dentistry have offices in Broward County and Boca Raton and provide patients Boca Raton Cosmetic Dentistry, Fort LauderdaleCosmetic Dentistry, and Miami Cosmetic Dentistry. The dentists specialize in porcelain veneers, dental implants, extreme makeovers, Invisalign, and sedation dentistry.

Via EPR Network
More Healthcare press releases

The Wohrle Dental Implant Clinic and Dr. Peter Wohrle are now able to offer patients Same Day Dental Implants at their Newport Beach California Dental Implants Clinic

BACKGROUND: About 22 million people in the United States have dentures or no teeth at all. Dental implants can offer a welcome alternative for those who want to regain their smile. The first modern dental implants hit the scene in the 1950s, and they’ve improved quite a bit over the years. Dental implants provide a base for replacement teeth that look and function like natural teeth. The implants are tiny titanium posts that are surgically placed into the jawbone where teeth are missing. The bone grows to the titanium, creating a strong foundation for artificial teeth.

According to the American Dental Association, the number of implants placed by dentists increased 49 percent between 1995 and 1999.

STANDARD IMPLANTS: Typically, dental implants are done in two surgical procedures. The dentist will have to refract (peel back) the gum tissue to see just where the implants will go to avoid sensitive nerves. When the proper placement is decided, the dentist will then place the implants into the jawbone. For the first three to six months following that surgery, the implants, which are just below the surface of the gums, bond with the jawbone. While the implants are bonding with the jawbone, new replacement teeth are made by the dentist. When the implants are fully bonded with the jawbone (again, a process that takes up to six months), the dentist is ready to fit the new teeth. The second procedure you undergo includes uncovering the implants and attaching the posts that act as anchors for the artificial teeth. The teeth are then attached to those posts. The entire process takes up to nine months to complete.

NOW, FASTER, EASIER IMPLANTS: Now, dentists are offering an innovative way to give you dental implants and teeth in a one-hour office visit. At an initial patient visit, doctors take a 3-D image of the patient’s jaw using an iCAT machine. When used with new computer software, the images show dentists the exact anatomy of the patient’s jaw, finding even the smallest amounts of bone. Dentists can plan the surgery with pinpoint accuracy using these images and eliminate any potential problems before the patient even arrives at the office for the procedure. 

Peter Wohrle from The Wohrle Dental Implant clinics in Newport Beach, California says, “with this new technique, we can treat patients more efficient, with less pain, and more accuracy” Most procedures are done by cutting open the gums. No cutting means less trauma and less pain for the patient. When the patient comes for their implants, it takes about an hour to insert the implants and attach the teeth. Dr. Wohrle says: What used to take months, we often can accomplish now within hours, with much less trauma and better results.”

 

Via EPR Network
More
Healthcare press releases

Washignton DC Cosmetic Dentists offer patients amazing smile makeovers with inaugurals doings next week

Contractors and political organizers are not the only workers spiffing up things around here for the big inaugural doings next week. It appears many people have been spiffing up their smiles for the new regime as well.

“Call it inaugural fever, but one patient who has been thinking about improving his smile for along time, was so excited about our new president coming to town that he decided now is the time to look his best for all the parties and celebrations he’s going to,” says Dr. Sherman H. Telis, of the Washington Center for Dentistry, who practices just a few blocks from The White House.

Here’s the rundown on the new smile:

• Our technician conducted a Britesmile whitening session to lighten all existing teeth.
• Our periodontist, Dr. Madjid Matin, reshaped the gum tissue around his front teeth to provide a graceful new smile line.
• Dr. Telis placed eight lustrous all-porcelain crowns to create an exquisite new smile.

“Now he’s happy to face the inauguration in 2009!,” says Dr. Telis.

And it appears inaugural fever reaches as far away as Moscow. From thousands of miles—but only a cyber-click away—our first new patient from that part of the world came here this week—for a complete smile makeover! She was certainly happy to be visiting during such a momentous time for our country.

“This beautiful young woman said she researched dentists all over the internet, and she felt instantly comfortable coming here to get the smile she always wanted,” says Dr. Daniel J. Deutsch, also of the Washington Center for Dentistry. “And being here this week is a bonus.”

Here is the rundown on her new smile:

• Our technician conducted a Britesmile whitening session to lighten the shade of the existing teeth.
• Dr. Rinaldi placed 10 beautiful all-porcelain veneers across the top of her smile.
• Dr. Deutsch placed 7 exquisite all-porcelain crowns and bridges to enhance and replace missing teeth on her lower arch.

The result: Two stunning new smiles that would befit any new administration.

Please visit www.dc-cosmetic-dentist.com to learn more and to schedule an appointment online or our main website at www.washdent.com

Via EPR Network
More Healthcare press releases